
All-on-4 és All-on-X: új mosoly 1 nap alatt?
Ha már csak néhány saját foga maradt, vagy teljes foghiányban szenved, biztosan hallott már az All-on-4 vagy All-on-X rendszerről. Ezek az innovatív implantációs megoldások lehetővé

Ha már csak néhány saját foga maradt, vagy teljes foghiányban szenved, biztosan hallott már az All-on-4 vagy All-on-X rendszerről. Ezek az innovatív implantációs megoldások lehetővé

A fogszabályozás világa hatalmas fejlődésen ment keresztül az elmúlt évtizedekben. Ma már nem kell feltétlenül bracketeket (fém, vagy kerámia) és drótokat viselni ahhoz, hogy szabályos

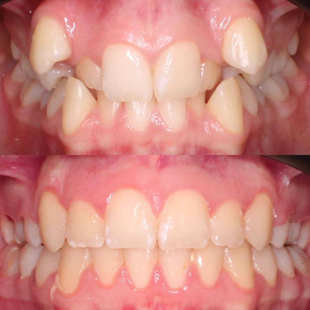
Sokan gondolják úgy, hogy a fogszabályozás csak gyermekkorban hatékony. A valóság azonban az, hogy ma már egyre többen vágnak bele felnőttként is – és fantasztikus

A fogtömés ma már rutinszerű beavatkozásnak számít, mégis sokan tapasztalják, hogy néhány év után újra kezelni kell ugyanazt a fogat. Mi lehet ennek az oka?

2022. Augusztus Szakmai úton jártunk kollégámnál, barátomnál dr Frank Spiegelbergnél. Digitális implantátum tervezés (3Shape, Trios) és a színes! 3D nyomtatás (Stratasys, Formlabs) mindennapi alkalmazási lehetőségeit

2023 február Szakmai út Brazília. Az elmúlt évek egyik legérdekesebb és legfelkapottabb új technikáját jöttem ide megtanulni a technika kitalálójától Prof J. C. M. Da

2023 Október Meghívott előadó voltam az SIC-Invent svájci implantátum cég ázsiai és Csendes óceáni régiójának meetingjén ahol az implantátumrendszer előnyeiről beszéltem azonnali implantációnál az esztétikai

2023 November Rendelőnk történetében először élő műtétes szakmai továbbképzést tartottunk Dr Varga Endre kollégámmal fogorvosoknak. A tanfolyam témája:

2024 Október A kedvenc implantátum rendszerem fejlesztői konferenciáján voltam meghívott előadó. A stackable guideokról tartottam előadást és a digitális fejlesztésekről az implantológiában. Mik a stackable
Keresd fel telefonon recepciónkat, kollégáink 1 munkanapon belül visszahívnak.