
All-on-4 vagy All-on-6? Kinek melyik a jobb választás?
A teljes foghiány vagy a menthetetlen fogazat pótlása ma már egészen más szinten történik, mint akár 10–15 évvel ezelőtt. Az implantációs technológiák fejlődésének köszönhetően ma

A teljes foghiány vagy a menthetetlen fogazat pótlása ma már egészen más szinten történik, mint akár 10–15 évvel ezelőtt. Az implantációs technológiák fejlődésének köszönhetően ma

A fogászati implantációt követően az egyik leggyakoribb kérdés, amit pácienseimtől kapok: mit lehet enni implantátum után, és mit érdemes inkább kerülni a gyors és problémamentes gyógyulás

Az implantáció az egyik legdinamikusabban fejlődő területe a modern fogászatnak. Az elmúlt években a digitális technológiák megjelenése alapvetően változtatta meg azt, ahogyan az implantátumok behelyezését

A fogimplantátum ma az egyik legstabilabb és legkiszámíthatóbb megoldás foghiány esetén. Ugyanakkor fontos őszintén beszélni arról is, hogy az implantáció sebészeti beavatkozás, tehát bizonyos kockázatokkal jár. A leggyakoribb

Az elmúlt években a felnőttkori fogszabályozás iránti igény jelentősen megnőtt. Egyre többen szeretnének szebb, harmonikusabb mosolyt anélkül, hogy a kezelés feltűnő lenne a mindennapok során.

A gyökérkezelés szó sok páciens számára még ma is félelmet kelt. Sokan egy fájdalmas, hosszadalmas kezelésre gondolnak, amelynek kimenetele bizonytalan. A modern fogászat azonban az

A ragyogó, fehér mosoly ma már nem csupán esztétikai kérdés, hanem önbizalmat adó, életminőséget javító tényező is. A rendelői fogfehérítés biztonságos és hatékony módszer a

A teljes foghiány implantátumokon rögzített pótlása – közismert nevén All-on-4 vagy All-on-X megoldás – ma már kiszámítható, jól tervezhető és hosszú távon is stabil rehabilitációt

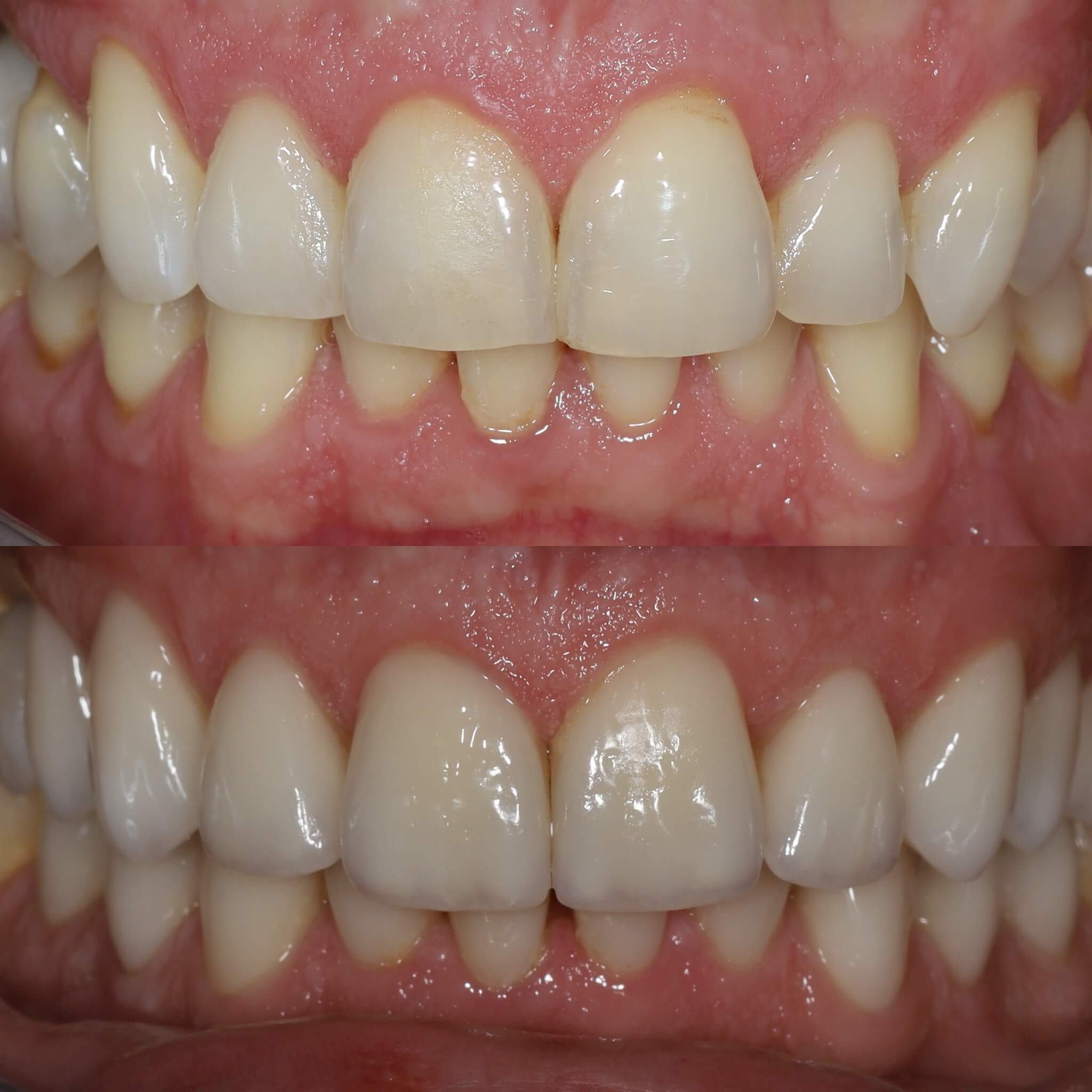
Az esztétikai fogászat egyik leggyakoribb kérdése a rendelőben, hogy érdemes-e direkt kompozit héjat készíteni, vagy inkább porcelán (kerámia) héjat választani. Mindkét megoldás alkalmas a fogak

Amikor valaki rákeres arra, hogy fogimplantátum ár, általában nem egy technológiai leírást keres, hanem egy egyszerű választ: mennyibe kerül, és miért kerül ennyibe. A keresés közben azonban
Keresd fel telefonon recepciónkat, kollégáink 1 munkanapon belül visszahívnak.