Dr Barabás József implantátumot ültet be

Digitálisan tervezett, azonnal terhelhető fogpótlás implantátumokon – precízen, biztonságosan, kompromisszumok nélkül

A Smile Harmony Dental rendelőben a fogak teljes pótlására a legkorszerűbb megoldásokat kínáljuk. Az All-on-4 / All-on-X eljárás azok számára nyújt tartós, esztétikus és kényelmes megoldást, akik elveszítették fogaikat vagy azok már menthetetlen állapotban vannak. Ennek az innovatív eljárásnak köszönhetően akár egyetlen nap alatt stabil, fix fogpótlással távozhat rendelőnkből – fogatlan, ideiglenes protézis nélküli időszak nélkül.

Mit jelent az All-on-4 / All-on-X technológia?

Az All-on-4 / All-on-X eljárás során 4–6 speciális szögben elhelyezett implantátummal biztosítjuk egy teljes fogív (felső vagy alsó állcsont) stabil rögzítését. A technológia lényege, hogy a meglévő csontkínálatot maximálisan kihasználjuk, gyakran elkerülve a csontpótlást vagy sinus liftet is.

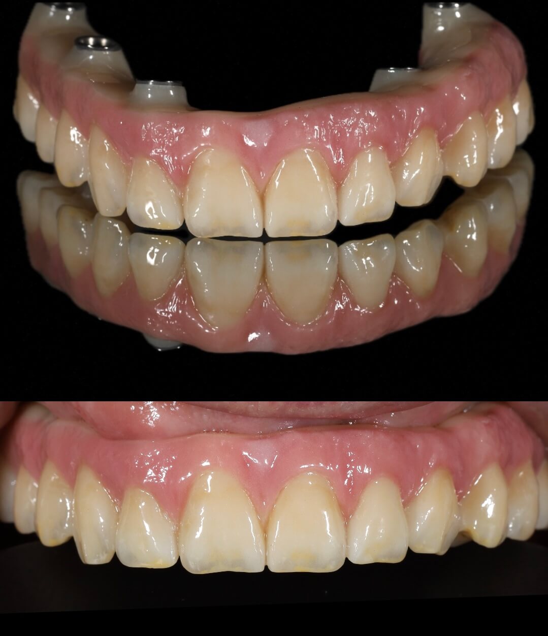
A behelyezett implantátumokra már a műtét napján rögzítjük az ideiglenes, de esztétikus és használható fix fogsort. Így pácienseink azonnal visszanyerik mosolyukat, rágóképességüket és önbizalmukat – már a beavatkozás napján!

3D nyomtatott stackable guide sebészi fúrósablonok fogászati implantációhoz

A beavatkozás menete – lépésről lépésre

1. Konzultáció és állapotfelmérés

Az első lépés egy személyes találkozó, ahol megvizsgáljuk az állcsontok állapotát, a fennmaradó fogakat, és részletesen átbeszéljük a lehetőségeket.

2. Digitális tervezés – a biztonság záloga

A modern fogászat kulcsa a pontos, előre tervezett kivitelezés. Ehhez többféle digitális adatot gyűjtünk:

• CBCT (3D CT) felvétel – a csontstruktúra részletes megismeréséhez

• Intraorális szken (Medit) – a fogívek és lágyrészek pontos digitális lenyomata

• Arcszken (Metismile) – a mosolytervezéshez és esztétikai tervezéshez

• Fotódokumentáció – referencia és kommunikációs eszköz

Ezek az adatok lehetővé teszik, hogy a teljes kezelést számítógépes tervezéssel előre megtervezzük.

Precizitás és esztétika:

az ecsettechnika alkalmazása

A legmodernebb eljárásunk során 3D nyomtatással sebészi sablonokat (ún. „guide-okat”) készítünk, amelyek pontosan vezetik az implantátumok beültetését. A „stackable guide” rendszerben ezek a sablonok egymásra épülnek, mint egy Lego-szerkezet:

• Az első sablon biztosítja a sablon pozíciót és rögzítést

• A következő sablon vezeti a fúrókat precíz mélységben és irányban illetve az implantátumok pontos pozícionálását 0,5mm pontossággal.

• A végső sablon meghatározza az ideiglenes fogpótlás pontos pozícióját

Ez a módszer minimalizálja a hibalehetőségeket, és garantálja, hogy az implantátumok, valamint a fogpótlás is pontosan a tervezett pozícióba kerülnek.

4. Minimálinvazív műtét – fájdalom és vágás nélkül

A stackable guide rendszer lehetővé teszi, hogy a műtét során ne használjunk szikét, ne tárjuk fel a csontot. Ez hasonló a laparoszkópos sebészethez: kisebb beavatkozás, kevesebb duzzanat, vérzés, fájdalom és gyorsabb gyógyulás.

A teljes eljárás – beleértve a fogeltávolítást, implantátumbeültetést, ideiglenes fogpótlás felhelyezését – 2–3 órán belül elvégezhető, akár egyetlen ülésben teljes alsó, vagy felső állcsont esetén.

SIC Invent implantátum beültetés 3D nyomtatott sebészi sablon segítségével

5. Azonnali ideiglenes fogsor – fix mosoly aznap

A beavatkozás után azonnal behelyezzük az előre elkészített, 3D nyomtatott ideiglenes fogpótlást. Ez nem csak esztétikus, de már aznap normál beszédet és étkezést is lehetővé tesz. Nem kell a váróban fogatlanul a kapkodó fogtechnikára várni, a pótlást már a műtét előtt elkészítjük!

6. Végleges fogpótlás 3 hónap után

A gyógyulási idő alatt az implantátumok csontosodnak (osseointegráció). A gyógyulási idő alatt változik az ínykontúr, a fogeltávolítások helyei, ezért legalább 3 hónapot kell várni a végleges fogpótlásra, hogy pontosan illeszkedjen az állcsontgerinchez.  Ezután következik a végleges fogpótlás készítése, amely:

• egyedi mosolytervezés alapján készül

• kipróbálható prototípussal (PMMA)

• készülhet cirkóniumbólCAD/CAM titán+cirkónium kombinációból vagy korszerű polimer (Trilor) anyagokból

✅ Fix fogsor akár egy nap alatt

✅ Nem kell hosszú ideig fogak nélkül maradni

✅ Kiváló stabilitás még csökkent csontállomány mellett is

✅ Minimális fájdalom és gyors gyógyulás

✅ Esztétikus, természetes hatású végeredmény

✅ Tervezett, precíz kivitelezés – a legnagyobb elérhető biztonság mellett

Modern implantáció a Smile Harmony Dental rendelőben

Rendelőnkben elkötelezettek vagyunk a legmodernebb technológiák és eljárások mellett. Az All-on-X beavatkozásokat szakértő sebészek, digitális tervezők és fogtechnikusok szoros együttműködésével végezzük – a Swissmeda SMOPSirona CBCTMedit 3D, és Metismile arcszken technológiák segítségével.

Ha teljes, stabil, esztétikus mosolyt szeretne kompromisszumok nélkül – keressen bennünket bizalommal, és megtervezzük Önnek a legjobb megoldást!

Pácienseink mondták

Gyakori kérdések

Egy innovatív implantációs technika, amellyel 4 implantátumra teljes fogíves pótlás készíthető.

Ideiglenes pótlást stackable guide-al akár azonnal, normál esetben 1-3 nap alatt, a végleges pótlás 3–6 hónap után készül el.

A műtétet helyi érzéstelenítésben végezzük, így teljesen fájdalommentes.

Gyakran nem szükséges, mivel az implantátumokat speciális szögben ültetjük be – ez az eljárás egyik nagy előnye.

Általában néhány nap – sokkal gyorsabb, mint a hagyományos implantációs rendszereknél.

Teljes foghiány esetén, vagy ha meglévő fogak nem menthetők – ideális gyors és stabil megoldásként.

Foglaljon időpontot!

Töltse ki az alábbi űrlapot és kollégáink hamarosan keresni fogják a megadott elérhetőségeken.

Kérdésed van, vagy nem vagy biztos?

Keresd fel telefonon recepciónkat, kollégáink 1 munkanapon belül visszahívnak.