Azonnali implantációval pótolt kisőrlő előtt-után

Azonnali implantáció a Smile Harmony Dentalnál

A foghiány nem csupán esztétikai probléma: kihat a rágásra, a beszédre, a mosoly magabiztosságára, sőt, hosszú távon az állcsont szerkezetére is. A fogászati implantátum a legkorszerűbb megoldás a hiányzó fogak pótlására, hiszen stabil, természetes hatású és tartós eredményt biztosít. Az implantáció klasszikus módja szerint a fog eltávolítása után hónapokat kellett várni a végleges implantátum behelyezésére. A modern technológiának köszönhetően azonban ma már létezik gyorsabb, kényelmesebb megoldás is: az azonnali implantáció.

Smile Harmony Dentalban Budapesten, a II. kerületben azonban lehetőség van a modern, gyors és hatékony megoldásra: az azonnali implantációra.

Mi az azonnali implantáció?

Az azonnali implantáció során az implantátumot közvetlenül a fog eltávolítását követően helyezzük be az állcsontba. Ennek köszönhetően nincs szükség hosszú várakozási időre a gyógyulás és az implantáció között, hiszen a két beavatkozás egyetlen lépésben történik. Bizonyos esetekben ideiglenes pótlás is készíthető az implantátumra, így a páciens akár már a beavatkozás napján foggal távozhat a rendelőből.

Az azonnali implantáció előnyei

• Gyorsaság – A fogeltávolítás és az implantátumbehelyezés egy ülésben történik, így a kezelés összesen kevesebb időt vesz igénybe.

• Kevesebb műtéti beavatkozás – Nem szükséges két külön műtét (fogeltávolítás és implantáció), ezáltal kíméletesebb a páciens számára.

• Esztétikai előny – Az azonnali ideiglenes fogpótlásnak köszönhetően nem marad foghiányos időszak, így megőrizhető a mosoly szépsége és az önbizalom.

• Csont- és ínymegőrzés – Az implantátum azonnali behelyezése segíthet megőrizni a csont és a lágyrészek formáját, így esztétikailag is kedvezőbb eredményt nyújt.

• Kényelmesebb páciensélmény – Kevesebb időt kell a rendelőben tölteni, rövidebb a teljes kezelési folyamat.

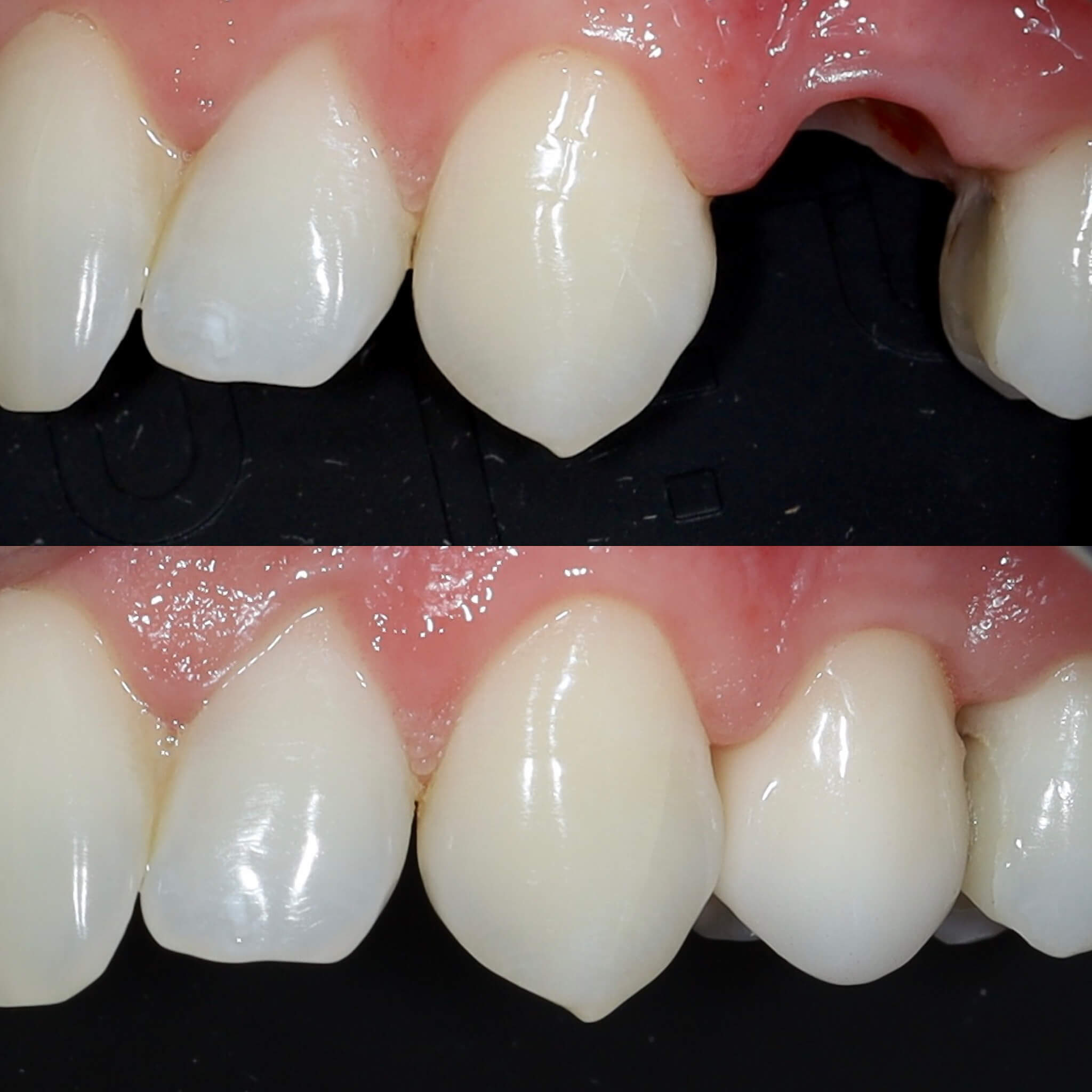
Azonnali implantációval pótolt kisőmetsző előtt-után
Teljes szájrehabilitáció stackable guide technológiával

Mikor alkalmazható az azonnali implantáció?

Az azonnali implantáció kiváló megoldás lehet, de nem minden esetben alkalmazható. A sikerhez elengedhetetlen az elegendő csontmennyiség és az egészséges íny. Az eljárást leggyakrabban a következő helyzetekben javasoljuk:

• ha a fog eltávolítása elkerülhetetlen (pl. törés, erős szuvasodás, fogágybetegség, sikertelen gyökérkezelés miatt),

• ha a páciens nem szeretne hosszú ideig foghiánnyal élni,

• ha fontos az esztétika, például a frontfogak területén,

• ha a csont és a környező szövetek állapota megfelelő az implantátum azonnali befogadására.

Amennyiben a körülmények nem ideálisak, először csontpótlásra vagy egyéb előkészítő kezelésre lehet szükség, és az implantáció halasztva történik.

Hogyan zajlik a beavatkozás?

1. Konzultáció és diagnosztika: Részletes állapotfelmérést végzünk digitális röntgen- és 3D CT-felvételekkel. Megvizsgáljuk a csont mennyiségét, minőségét és az íny állapotát.

2. A fog eltávolítása: A szükséges fogat kíméletesen (minimálinvazívan) eltávolítjuk, ügyelve a környező szövetek épségére.

3. Implantátum behelyezése: Az implantátumot közvetlenül a frissen eltávolított fog helyére ültetjük be, precíz sebészi technikával (akár 3D navigációval).

4. Ideiglenes fogpótlás készítése (szükség esetén): Esztétikai zónában gyakran ideiglenes pótlást is készítünk, amely azonnal pótolja a hiányzó fogat.

5. Gyógyulás és végleges fogpótlás: Az implantátum néhány hónap alatt becsontosodik, majd elkészül a végleges, tartós fogpótlás (korona, híd vagy teljes fogsor).

SIC Invent implantátum beültetés 3D nyomtatott sebészi sablon segítségével
Dr Barabás József fogászati kezelés

Biztonság és sikeresség

Az azonnali implantáció egy modern és biztonságos eljárás, de sikeressége a gondos diagnosztikán, a megfelelő indikáción és a sebész tapasztalatán múlik. A Smile Harmony Dentalnál minden esetben részletesen tájékoztatjuk a pácienseket a lehetőségekről, az előnyökről és az esetleges kockázatokról, így a döntést közösen hozzuk meg a pácienssel.

Az Ön mosolya gyorsabban visszatérhet

Az azonnali implantáció azok számára nyújt kiváló megoldást, akik szeretnék elkerülni a hosszú hónapokig tartó foghiányos állapotot. A modern sebészeti és digitális eszközöknek köszönhetően ma már lehetséges, hogy Ön akár egyetlen kezelés során megszabaduljon a rossz fogtól, és azonnal új alapot kapjon a jövőbeli mosolyhoz.

A Smile Harmony Dental rendelő Budapesten a II. kerület szívében a legkorszerűbb implantációs megoldásokat kínálja pácienseinek – biztonságosan, precízen, személyre szabva.

Gyakori kérdések

Az azonnali implantáció során a fog eltávolítása után közvetlenül beültetjük az implantátumot a friss fogmederbe. Így nincs szükség külön gyógyulási időszakra a foghúzás és az implantáció között, a két beavatkozás egyetlen lépésben történik.

Nem minden esetben. Fontos, hogy a csont és az íny állapota megfelelő legyen. Ha a csont túlzottan sérült, fertőzés áll fenn, vagy nincs elegendő csontmennyiség, előbb csontpótlásra vagy más előkészítő kezelésre lehet szükség.

Az eljárás gyorsabb, mivel nem kell hónapokat várni a foghúzás után az implantációra. Kevesebb műtéti beavatkozással jár, segíthet megőrizni a csontot és az ínyt, és esztétikai szempontból is kedvező, hiszen akár ideiglenes fogpótlás is készülhet azonnal.

Nem. A beavatkozás helyi érzéstelenítésben történik, így Ön nem érez fájdalmat. A foghúzás és az implantáció egy ülésben zajlik, a beavatkozás után pedig átmeneti duzzanat vagy érzékenység előfordulhat, amely néhány nap alatt csillapodik.

Bizonyos esetekben igen, főleg az esztétikai zónában. Ideiglenes pótlás készülhet, amelyet a gyógyulási időszak alatt viselhet. A végleges fogpótlás azonban mindig a csontosodás (3–6 hónap) után kerül az implantátumra, amikor már stabilan rögzült a csontban.

Az eljárás biztonságos és magas sikerességi arányú, ha a páciens állapota alkalmas rá és tapasztalt implantológus végzi. A Smile Harmony Dentalban minden esetet egyénileg mérlegelünk, és a legmodernebb eszközökkel, technikákkal végezzük a beavatkozást, így a lehető legbiztonságosabb körülmények között történik a kezelés.

Foglaljon időpontot!

Töltse ki az alábbi űrlapot és kollégáink hamarosan keresni fogják a megadott elérhetőségeken.

Kérdésed van, vagy nem vagy biztos?

Keresd fel telefonon recepciónkat, kollégáink 1 munkanapon belül visszahívnak.