Természetes hatású Emax héjak és koronák

Esztétikus, korszerű fogpótlások és fogászati héjak

Természetes hatású megoldások a tökéletes mosolyért

A mosoly nemcsak esztétikai kérdés – a fogak állapota közvetlen hatással van az önbizalomra, a beszédre és a rágásra is. Foghiány, sérülés, elszíneződés vagy formai rendellenesség esetén ma már elérhetőek olyan modern fogászati megoldások, amelyek kíméletesek, tartósak és szinte észrevétlenek.

A Smile Harmony Dentalnál mindig egyéni igényekre szabottan választjuk ki a legmegfelelőbb helyreállítást, legyen szó fogpótlásról, betétről vagy héjról – a cél mindig ugyanaz: természetes, harmonikus mosoly, kompromisszumok nélkül.

Fogászati héjak (veneerek)

Esztétikai korrekció minimális beavatkozással

A héj egy hajszálvékony, kerámiából készült lemez, amelyet a metszőfogak külső felszínére rögzítünk. Kiváló választás, ha a fog esztétikai megjelenését szeretnénk javítani, de a fog maga ép és egészséges.

Mikor javasolt?

  • Elszíneződött, foltos fogak esetén
  • Enyhén szabálytalan, rövid vagy letört metszőfogaknál
  • Fogak közötti rés (diastema) zárására
  • Mosolyátalakítás céljából

Előnyei:

  • Minimálisan invazív: a fogból alig kell eltávolítani
  • Természetes megjelenés: áttetszősége a saját foghoz hasonló
  • Nem színeződik el: ellenáll a kávé, tea, dohány hatásainak
  • Gyors és látványos változás
Szupervékony földpát kerámia héjak frontfogakra
Élethű koronák fogászati implantátumokra digitális technológiával

Fogpótlás implantátumra

A legmodernebb, legtermészetesebb megoldás

A fogászati implantátum egy titánból, vagy kerámiából készült műgyökér, amelyet az állcsontba ültetünk be, és amelyre korona, híd vagy protézis rögzíthető. Ez a megoldás esztétikailag és funkcionálisan is a legközelebb áll a saját fogakhoz.

Előnyei:

  • Nem kell a szomszédos fogakat lecsiszolni
  • Stabil, kényelmes, nem mozdul el
  • Teljesen élethű megjelenés
  • Hosszú élettartam megfelelő gondozás mellett

Fogászati koronák és hidak

Ha a fog szerkezete sérült, vagy teljes foghiány áll fenn

A korona olyan sapkaszerű fogpótlás, amely beborítja a meglévő, gyengült vagy gyökérkezelt fogat. Színben és formában pontosan illeszkedik a környező fogakhoz.

Korszerű típusai:

  • Cirkónium korona – fémmentes, kiemelkedően tartós, esztétikus
  • Préskerámia korona (E-max) – természetes áttetszőség, különösen frontfogakra ajánlott

Mikor javasolt?

  • Nagy kiterjedésű tömés után
  • Gyökérkezelést követően
  • Elszíneződött, gyengült fog esetén

Ha egy vagy több szomszédos fog hiányzik, a híd stabil, esztétikus pótlást nyújt, a szomszédos fogakra támaszkodva.

Fogászati hidak jellemzői:

  • Hosszú távon megbízható
  • Precízen tervezett, fogszínű
  • Akár több fog is pótolható vele
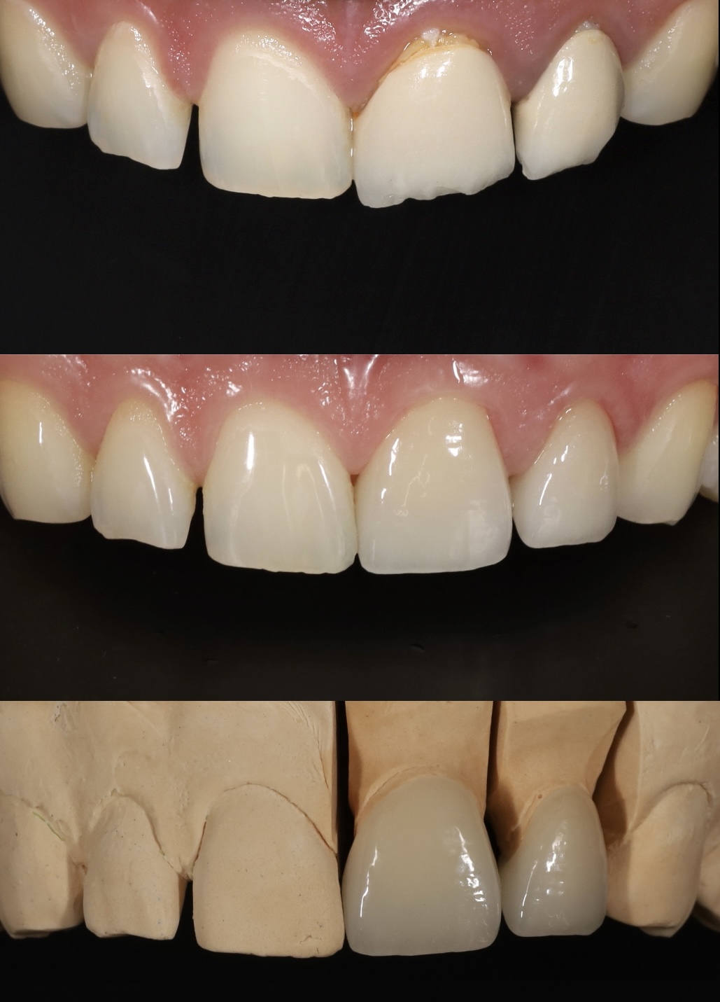
Régi pontatlan koronák cseréje élethű Emax koronákra eőtt-után, Smile Harmony Dental, Budapest

Inlay / onlay – amikor egy tömés már nem elég

Az inlay és onlay fogtechnikai betétek, amelyek tökéletesen illeszkednek a rágófelszínbe. Akkor ajánlottak, ha a fog már túl nagy mértékben sérült ahhoz, hogy hagyományos töméssel helyrehozható legyen, de a teljes korona még nem szükséges.

A kettő közti különbség:

  • Inlay: a fog üregébe illeszkedik, csücsök nélkül
  • Onlay: a fog csücskeit is befedi, nagyobb kiterjedésű betét

Előnyei:

  • Rendkívül tartós, pontos illeszkedés
  • Fogszínű anyagból készül – teljesen észrevétlen
  • Stabilizálja a fogat, megelőzi a további törést
  • Laborban, digitálisan tervezett megoldás

Kivehető fogpótlások – korszerű változatban

Ha több vagy minden fog hiányzik

A mai kivehető protézisek már messze túlszárnyalják a régi típusokat. Precíz illeszkedés, kényelmes viselet, természetes megjelenés jellemzi őket.

Különösen kényelmes típus: implantátumra rögzülő, pattintható protézis – stabil és diszkrét megoldás a teljes foghiányra.

Fémmentes élethű cirkon híd több fog pótlására

Pácienseink mondták

Gyakori kérdések

Cirkónium, préskerámia és modern kompozit anyagokat használunk, amelyek tartósak és esztétikusak.

A pótlásokat egyéni mosolytervezéssel és színminták alapján készítjük el, így teljesen természetes hatásúak.

Igen, de minimális mértékben, a fog megtartása mellett, kíméletes eljárásokkal.

Általában 1–2 hét, az első lenyomatvételtől a végleges beragasztásig.

Igen, idővel (10–15 év) szükség lehet cserére, de megfelelő ápolással sokáig tart.

A korona teljesen beborítja a fogat, míg a héj csak az elülső felszínre kerül – esztétikai célból.

Melyik a megfelelő megoldás számomra?

Ez minden esetben személyre szabottan dől el. A Smile Harmony Dental rendelőben a legmodernebb diagnosztikai és tervezési eszközökkel dolgozunk, hogy minden páciens számára funkcionálisan és esztétikailag is ideális megoldást kínáljunk.

A természetes mosoly nem luxus – csak jó döntés kérdése.

Foglalj időpontot konzultációra, és ismerd meg a lehetőségeidet

Foglaljon időpontot!

Töltse ki az alábbi űrlapot és kollégáink hamarosan keresni fogják a megadott elérhetőségeken.

Kérdésed van, vagy nem vagy biztos?

Keresd fel telefonon recepciónkat, kollégáink 1 munkanapon belül visszahívnak.