Láthatatlan felnőtt fogszabályzás angel aligner rendszerrel

Láthatatlan fogszabályozás – Aligner rendszer

Modern megoldás látható eredménnyel

Szeretnél szép, szabályos mosolyt – de nem akarod, hogy a fogszabályozó feltűnjön a hétköznapokban? A láthatatlan, kivehető fogszabályozók, azaz az alignerek, ideális megoldást nyújthatnak számodra.

Az aligner rendszer egy kényelmes, esztétikus és rugalmas fogszabályozási módszer, amelyet különösen felnőttek és elfoglalt életmódot élők kedvelnek. A kezelést digitálisan tervezzük meg, és az áttetsző sínek lépésről lépésre, szinte észrevétlenül mozgatják a fogaidat a kívánt pozícióba.

Hogyan működik?

Az aligner-kezelés egyéni tervezésen alapul. A folyamat lépései:

  1. Digitális lenyomat és konzultáció:
    3D szkennerrel pontos képet alkotunk a fogsorodról, és megbeszéljük az elvárásaidat, céljaidat.
  2. Személyre szabott kezelési terv:
    A legmodernebb szoftverrel megtervezzük a fogak mozgatását lépésről lépésre – akár azt is megmutatjuk, hogyan fog kinézni a mosolyod a kezelés végén.
  3. Sínkészítés:
    A fogmozgatási terv alapján több átlátszó sínt (alignert) készíttetünk, melyek minden egyes fázisban egy kicsit másként illeszkednek, így folyamatosan terelik a fogaidat a megfelelő helyre.
  4. Viselés és kontroll:
    A síneket általában 1-2 hetente cseréled, a kezelési terv szerint. Fontos, hogy naponta legalább 20–22 órán át viseld őket a hatékonyság érdekében. Időnként ellenőrzésre is visszavárunk.

Előnyök – Miért szeretik annyian?

  • Szinte láthatatlan:
    Az áttetsző műanyag sínek diszkrétek, így alig észrevehetőek a munkahelyen, iskolában vagy bármilyen társas helyzetben.
  • Kényelmes:
    Nincs fém vagy drót, ami irritálná a száj nyálkahártyáját. Az alignerek sima felületűek, és könnyen megszokhatóak.
  • Kivehető:
    Étkezéshez, fogmosáshoz egyszerűen ki lehet venni – ezáltal könnyebb tisztán tartani a fogakat, és nem kell lemondani a kedvenc ételekről sem.
  • Digitális tervezés:
    A kezelés jól követhető, a fogmozgások előre modellezhetők – így már a kezelés elején láthatod a várható végeredményt.
  • Kevesebb kontroll szükséges:
    A rendszeres, de ritkább szakorvosi vizitek miatt elfoglalt életvitel mellett is könnyebben beilleszthető a mindennapokba.

 

Mire érdemes odafigyelni?

Bár az alignerek számos előnnyel bírnak, fontos néhány dolgot szem előtt tartani:

  • Fegyelmezett viselés szükséges:
    Az alignerek csak akkor működnek, ha eleget viseled őket. Ha nem hordod napi 20–22 órán át, a kezelés elhúzódhat, vagy nem hoz megfelelő eredményt.
  • Nem minden esetben elegendő:
    Bizonyos bonyolultabb harapási rendellenességek, súlyos torlódások esetén a rögzített fogszabályzó hatékonyabb lehet, vagy az alignert kiegészítő elemekkel kell kombinálni.
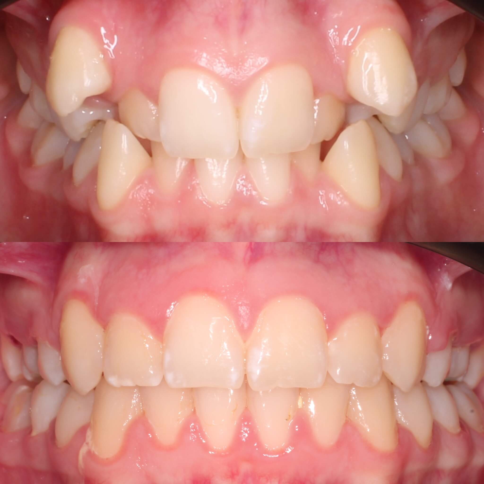
Aligneres fogszabályzás előtt után Dr Benedikti Bence

Kinek ajánlott az aligner?

Ez a megoldás különösen ideális:

  • felnőtteknek, akik diszkrét megoldást keresnek,
  • fiatal felnőtteknek, akik nem szeretnének fém készüléket viselni,
  • azoknak, akik szívesen együttműködnek a kezelési terv betartásában,
  • kisebb vagy közepes fokú fogtorlódás, rések, enyhe harapási eltérések esetén.

Kezdjük el a mosolyod átalakítását!

Ha szeretnél esztétikus, kényelmes és korszerű megoldást a fogaid szabályozására, foglalj időpontot rendelőnkbe egy konzultációra! Megvizsgálunk, elmagyarázzuk a lehetőségeket, és segítünk kiválasztani a számodra legmegfelelőbb kezelési módot.

Smile Harmony Dental – a láthatatlan mosoly mögött a szakértelem áll.

Szép mosoly. Magabiztosság. Jövő

Pácienseink mondták

Gyakori kérdések

Az aligner egy áttetsző, kivehető sínrendszer, amely fokozatosan mozgatja a fogakat a kívánt pozícióba. Minden sín egy kis lépést jelent az ideális fogsor felé.

Igen, a sínek áttetszőek, ezért szinte észrevétlenek a mindennapi életben. A legtöbb páciens nyugodtan viseli őket munkahelyen, társaságban vagy akár kamera előtt is.

Általában 7–14 naponta váltja egymást a következő sín. A napi viselési idő 20–22 óra, vagyis csak étkezéskor és fogmosáskor szükséges kivenni.

Étkezéshez mindig ki kell venni az alignert. Vizet azonban bármikor lehet inni viselés közben is. A kávé, tea vagy színes italok elszínezhetik a sínt, ezért ezek előtt ajánlott kivenni.

A legtöbb esetben igen, de vannak olyan komplex elváltozások, amelyek inkább rögzített készülékkel kezelhetők. A kezelési tervet digitális tervezéssel és személyes konzultáció alapján állítjuk össze.

A kontrollok általában 6–8 hetente szükségesek. Ezeken az alkalmakon ellenőrizzük a haladást és átadjuk a következő sínszettet.

Foglaljon időpontot!

Töltse ki az alábbi űrlapot és kollégáink hamarosan keresni fogják a megadott elérhetőségeken.

Kérdésed van, vagy nem vagy biztos?

Keresd fel telefonon recepciónkat, kollégáink 1 munkanapon belül visszahívnak.